01.FEATURES6つの特徴
特徴01自宅で完結
通院せずにマウスピース作製からホワイトニングまで自宅でできる。

特徴02無料オンライン診療
初めての方はまず無料カウンセリング!一人ひとりの歯の質やご希望に合わせて適切なホワイトニングの方法をご提案いたします。

特徴03見た目の
清潔感&印象アップ
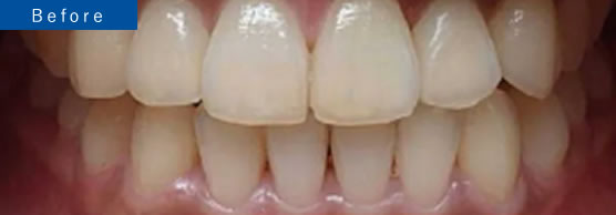
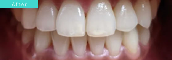
歯のホワイトニングは、自信向上と魅力的な笑顔をもたらし、清潔感のある白い歯は好印象を与え、若々しさと明るい外見を演出します。

特徴04歯を白くする
医療ホワイトニング
美容ホワイトニングは歯の表面の着色除去のみで、効果は限定的です。一方、医療ホワイトニングは過酸化尿素(水素)により歯自体を漂白し、より効果的に歯を白くします。

特徴05日本初認可の
過酸化尿素16%
一般的なホームホワイトニングジェルは10%濃度ですが、きれいな歯クリニックでは16%の高濃度ジェルを使用し、より効果的です。

特徴06セット購入でお得に
いつでも1ヶ月:4,000円台(最大25%OFF)で白い歯を維持できます。※ホワイトニング完了後、継続的に1ヶ月1.5本使用する場合



































